Bọc răng sứ tốt thẩm mỹ ở đâu tốt tại Tp Hồ Chí Minh? Răng chết tủy có bọc răng sứ thẩm mỹ được không? Hay bọc răng sứ có gây ra tai biến gì không? Đây là những chủ để sẽ được đưa ra bàn luận ngay sau đây dưới sự tư vấn của Chuyên gia Nha khoa, các bạn hãy dành thời gian thoi dõi nhé!
Hiện nay, bọc răng sứ là dịch vụ thẩm mỹ nha khoa nhận được sự quan tâm hàng đầu của khách hàng ở nhiều độ tuổi khách nhau nhưng đều đang gặp phải những vấn đề về răng như răng xỉn màu, răng sứt mẻ, răng thưa, răng hô móm nhẹ,…Chính vì vậy, chúng tôi đã dành bài viết này để giới thiệu thật chi tiết và cụ thể về phương pháp bọc sứ đến tất cả các bạn.

Bọc răng sứ thẩm mỹ an toàn và hiệu quả
Bọc răng sứ thẩm mỹ là gì?
Bọc răng sứ thẩm mỹ là phương pháp khôi phục lại một hoặc nhiều chiếc răng bị gãy vỡ, sứt mẻ, đổi màu hoặc răng hô móm nhẹ mà chưa cần tới niềng,… bằng một lớp vỏ răng sứ được chế tạo đặc biệt. Lớp vỏ răng sứ này có màu sắc giống với men răng thật, được thiết kế rỗng bên trong để bọc lại cùi răng thật giúp cải thiện thẩm mỹ và khả năng ăn nhai của toàn bộ khuôn hàm.
Các loại răng sứ thẩm mỹ chất lượng
Danh sách răng sứ tính đến thời điểm hiện tại rất đa dạng, nhưng trong đó loại răng sứ được đánh giá là chất lượng nhất bao gồm răng sứ Titan, răng sứ toàn sứ Cercon và răng sứ Veneer. Sau đây, chúng tôi sẽ phân tích những ưu điểm của 3 mẫu răng sứ này một cách cụ thể, để giúp các bạn dễ dàng lựa chọn được sản phẩm phù hợp:
Răng sứ Titan
Răng sứ Titan có phần phần khung sườn được chế tạo từ hợp kim Niken-Crom-Titan (chứa khoảng 6% chất Titanium) và bên ngoài được phủ lớp men sứ Ceramco 3. Đây là mẫu răng giả được đông đảo khách hàng lựa chọn sử dụng bởi chúng hội tụ những ưu điểm:

Răng sứ titan chịu lực tốt
* Duy trì độ bền và chịu lực tốt.
* Quy trình chế tạo và thao tác bọc răng sứ Titan tương đối đơn giản.
* Khách hàng không phải mài đi nhiều men răng.
* An toàn với cả bệnh nhân bị dị ứng với kim loại và răng có cấu tạo buồng tủy lớn
* Chi phí thấp hơn các mẫu loại răng sứ toàn sứ.
Luôn có các chương trình khuyến mại hấp dẫn cho khách hàng !
Đăng ký ngay hoặc gọi Hotline: 0974 445 455 để nhận khuyến mại
Răng sứ toàn sứ Cercon
Răng sứ Cercon được chế tác từ sứ không kim loại, gồm lớp sườn bên trong là Zirconia và lớp sứ kép Cercon bọc bên ngoài. Nhờ cấu tạo kép gồm 2 lớp đặc biệt này, răng sứ Cercon đã khắc phục được hầu hết nhược điểm của răng sứ kim loại như dễ gây kích ứng, mất thẩm mỹ,…

Răng sứ Cercon thẩm mỹ như răng thật
Răng sứ Veneer
Loại răng sứ này còn có tên gọi khác là mặt dán hay răng sứ veneer bởi vì chúng chỉ có bề dày khoảng 0.5 mm, giúp khôi phục lớp men răng tự nhiên thẩm mỹ như răng thật và hạn chế tối đa việc mài cùi răng.

Trường hợp nên bọc răng sứ thẩm mỹ
Bọc răng sứ thẩm mỹ là một giải pháp phục hình thẩm mỹ nha khoa được ưa chuộng bởi mang hiệu quả nhanh chóng cho những trường hợp sau đây:
Răng chết tủy
Khi răng bị chết tuỷ, thân răng mất đi nguồn nuôi dưỡng trực tiếp trở nên rất giòn, dễ vỡ và tuổi thọ thấp. Vì vậy, để tăng độ bền của răng, chúng ta phải bảo vệ nó bằng một lớp răng sứ ở bên ngoài – tức là bọc sứ. Mài nhỏ răng bị chết tủy đi để bọc sứ lại là một phương pháp thực hiện đúng đắn và tiết kiệm chi phí.
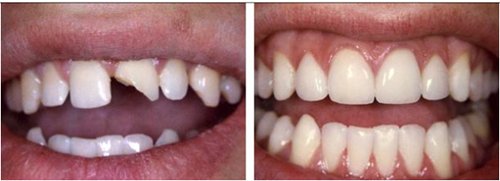
Răng mẻ gãy
Các trường hợp răng bị gãy bể gây mất thẩm mỹ làm bạn mất tự tin khi giao tiếp và gặp nhiều khó khăn khi ăn uống hay vệ sinh thì phương pháp bọc răng sứ là cứu cánh cho bạn.

Hình ảnh trước sau mang tính chất minh họa cho kết quả điều trị
(Mỗi bệnh nhân sẽ cho ra kết quả khác nhau tùy thuộc vào cơ địa và tình trạng của mỗi người)
Răng bị nhiễm màu
Có nhiều trường hợp sau thời gian sử dụng thuốc kháng sinh làm răng bị ngã vàng và không thể khôi phục độ trắng bằng các phương pháp tẩy trắng răng thì phương pháp bọc răng sứ thẩm mỹ là phương pháp phù hợp cho bạn.
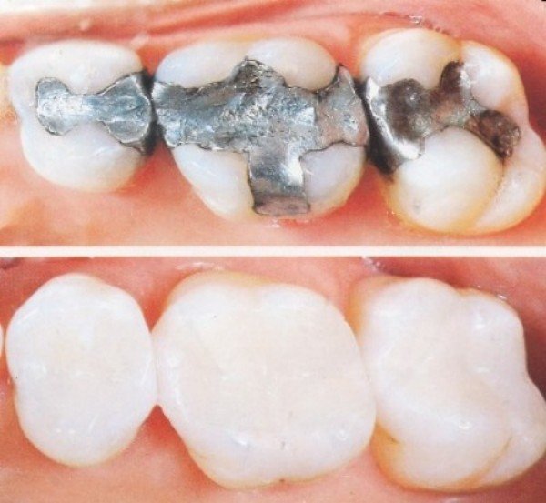
Răng bị sâu
Khi bị sâu răng nặng phải trám nhiều làm mất thẩm mỹ và làm răng dễ bị bể khi răng đã lấy tủy thì phương pháp bọc răng sứ giúp bạn phục hình lại hình dáng của răng và vừa giúp bảo vệ chiếc răng sâu bằng lớp mão sứ bọc xung quanh.

Hình ảnh trước sau mang tính chất minh họa cho kết quả điều trị
(Mỗi bệnh nhân sẽ cho ra kết quả khác nhau tùy thuộc vào cơ địa và tình trạng của mỗi người)
Bọc răng sứ thẩm mỹ có thể bị một số tai biến như tủy răng không được xử lý tốt trước khi làm răng sứ. Thay vì bệnh nhân cần được lấy tủy nhưng bác sĩ không lấy, cứ thế chụp răng sứ lên, khiến bệnh nhân bị ê buốt, có khi làm rò mủ ở vùng xương hàm.
Có bệnh nhân làm răng sứ xong khi nhai bị vướng, cộm, đau khớp ở thái dương hàm do người làm điều chỉnh khớp cắn không tốt. Có người bị nha chu nhưng người làm vẫn phục hình răng sứ trên đó, khiến bệnh nha chu tiếp tục phát triển dẫn đến hai trụ cầu răng bị lung lay. Về lâu dài, bệnh nhân có thể mất thêm hai chiếc răng thật hai bên.
Luôn có các chương trình khuyến mại hấp dẫn cho khách hàng !
Đăng ký ngay hoặc gọi Hotline: 0974 445 455 để nhận khuyến mại
Không ít trường hợp rơi vào tình trạng mão sứ không khít sát với cùi răng đã mài nên không đạt yêu cầu thẩm mỹ, dễ bị sâu răng tái phát, hoặc gây hôi miệng do thức ăn bám đọng vào những khe giữa đường cổ răng của mão sứ với đường cổ răng thật của bệnh nhân. Vì vậy để tránh những rủi ro nêu trên, các bạn hãy tìm đến trung tâm nha khoa bọc răng sứ uy tín cao vì ở đó có đội ngũ bác sỹ nha khoa nhiều kinh nghiệm và trang thiết bị hiện đại để giúp các bạn làm răng sứ an toàn hơn.
Làm một chiếc răng sứ thẩm mỹ yêu cầu kỹ thuật bọc sứ của Bác sỹ và kỹ thuật chế tạo răng sứ của kỹ thuật viên phải đạt chuẩn Y khoa. Vì vậy, các bạn hãy lựa chọn địa chỉ nha khoa chất lượng và tên tuổi để thực hiện đạt kết quả tốt nhất.

.png)




